Sâu kẽ răng là một trong những bệnh lý răng miệng phổ biến nhưng lại dễ bị bỏ qua nhất. Không giống sâu mặt nhai, sâu cổ răng hay những tổn thương có thể nhìn thấy bằng mắt thường, sâu kẽ răng tiến triển âm thầm giữa hai răng, chỉ được phát hiện khi đã gây ra hậu quả rõ rệt. Trên thực tế lâm sàng, không ít trường hợp phải điều trị tủy hoặc mất răng chỉ vì sâu kẽ răng không được phát hiện sớm.
Vậy sâu kẽ răng nguy hiểm thế nào? Vì sao đây được xem là dạng sâu răng “nhỏ nhưng hậu quả lớn” mà cả bệnh nhân lẫn bác sĩ đều đặc biệt lưu tâm?
Sâu kẽ răng là gì?
Sâu kẽ răng là tình trạng mô răng bị phá hủy tại vùng tiếp xúc giữa hai răng kế cận. Đây là khu vực rất khó làm sạch nếu chỉ chải răng thông thường, đồng thời cũng khó quan sát bằng mắt thường.
Vị trí hình thành sâu kẽ răng

Sâu kẽ răng xuất hiện ở mặt bên của răng, nơi hai răng tiếp xúc với nhau. Mảng bám và thức ăn dễ tích tụ tại đây, đặc biệt ở những người có răng mọc khít, chen chúc hoặc phục hình – chỉnh nha nhưng vệ sinh chưa đúng cách.
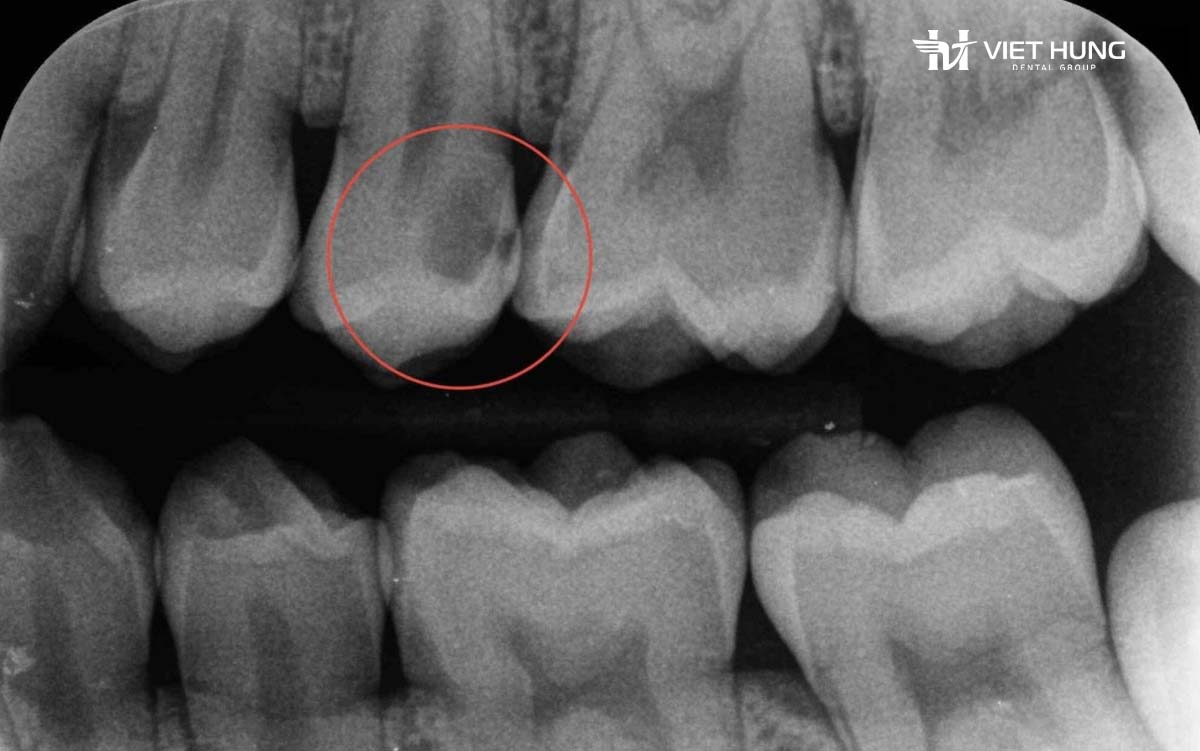
Vì sao sâu kẽ răng khó phát hiện hơn sâu răng thông thường?
Ở giai đoạn đầu, sâu kẽ răng thường không gây đau và không tạo lỗ sâu rõ ràng. Người bệnh khó nhận biết nếu không có thăm khám nha khoa hoặc chụp X-quang cắn cánh. Khi xuất hiện triệu chứng rõ rệt, tổn thương thường đã lan sâu vào ngà răng hoặc tiến sát buồng tủy.
Vì sao sâu kẽ răng nguy hiểm hơn bạn nghĩ?
Sâu kẽ răng không chỉ là một tổn thương nhỏ giữa hai răng. Mức độ nguy hiểm của nó nằm ở cơ chế tiến triển âm thầm và khả năng lan rộng nhanh chóng.
Tiến triển âm thầm, không đau ở giai đoạn đầu
Khác với sâu mặt nhai – nơi áp lực ăn nhai dễ gây đau sớm – sâu kẽ răng thường không tạo cảm giác khó chịu rõ ràng. Điều này khiến người bệnh chủ quan, bỏ qua thời điểm can thiệp lý tưởng.
Tốc độ lan nhanh sang răng bên cạnh
Khi sâu kẽ xuất hiện, vi khuẩn không chỉ phá hủy một mặt răng mà còn có thể lan sang mặt tiếp xúc của răng kế cận. Trên lâm sàng, nhiều ca phải trám hoặc điều trị cùng lúc hai răng vì sâu kẽ tiến triển song song.
Nguy cơ viêm tủy và hoại tử tủy
Khoảng cách từ mặt kẽ đến buồng tủy thường ngắn hơn so với mặt ngoài của răng. Khi sâu tiến triển, vi khuẩn dễ xâm nhập tủy, gây viêm tủy cấp hoặc hoại tử tủy, buộc phải điều trị nội nha.
Ảnh hưởng đến xương ổ răng và nguy cơ mất răng
Sâu kẽ không được kiểm soát có thể dẫn đến viêm quanh răng, tiêu xương ổ răng và làm giảm khả năng nâng đỡ răng. Đây là một trong những nguyên nhân khiến răng phải nhổ bỏ sớm, đặc biệt ở người trưởng thành.
Những dấu hiệu cảnh báo sâu kẽ răng dễ bị bỏ qua
Trên thực tế, cơ thể vẫn phát ra những tín hiệu cảnh báo sớm, nhưng thường không được chú ý đúng mức:
- Hơi thở có mùi dù đã vệ sinh răng miệng kỹ
- Thức ăn thường xuyên bị kẹt ở cùng một vị trí giữa hai răng
- Ê buốt nhẹ khi ăn đồ ngọt hoặc lạnh
- Chỉ nha khoa có mùi hôi sau khi sử dụng
Những dấu hiệu này tuy nhẹ nhưng có giá trị gợi ý rất cao đối với sâu kẽ răng.
Nguyên nhân phổ biến gây sâu kẽ răng

Mảng bám tích tụ giữa hai răng
Mảng bám chứa vi khuẩn sinh acid là nguyên nhân trực tiếp gây mất khoáng men và ngà răng. Vùng kẽ răng là nơi mảng bám dễ tồn tại lâu nhất.
Không sử dụng chỉ nha khoa
Chải răng chỉ làm sạch khoảng 60-70% bề mặt răng. Phần còn lại, đặc biệt là vùng kẽ, cần được làm sạch bằng chỉ nha khoa hoặc tăm nước.
Hình thể răng chen chúc, khít
Răng mọc chen chúc, tiếp xúc chặt khiến việc làm sạch kẽ răng trở nên khó khăn hơn, làm tăng nguy cơ sâu kẽ.
Chỉnh nha hoặc phục hình nhưng vệ sinh chưa đúng
Mắc cài, dây cung, mão răng hoặc cầu răng nếu không được vệ sinh đúng cách sẽ tạo điều kiện cho mảng bám tích tụ tại vùng kẽ.
Sâu kẽ răng nếu không điều trị sẽ dẫn đến điều gì?
- Mất mô răng không thể phục hồi
- Điều trị phức tạp hơn, tốn thời gian và chi phí hơn
- Nguy cơ ảnh hưởng đồng thời hai răng kế cận
- Tăng khả năng mất răng sớm, đặc biệt ở người lớn tuổi
Sâu kẽ răng càng được phát hiện muộn, mức độ can thiệp càng xâm lấn.
Các phương pháp điều trị sâu kẽ răng hiện nay
Trám răng sâu kẽ
Áp dụng khi tổn thương còn nông. Bác sĩ sẽ loại bỏ mô sâu và phục hồi hình thể răng bằng vật liệu trám phù hợp.
Điều trị tủy
Khi sâu đã lan đến tủy, điều trị nội nha là bắt buộc để loại bỏ mô nhiễm trùng và bảo tồn răng.
Phục hình mão răng
Trong trường hợp mất mô răng nhiều, mão răng giúp bảo vệ cấu trúc còn lại và khôi phục chức năng ăn nhai.
Phòng ngừa sâu kẽ răng hiệu quả

- Sử dụng chỉ nha khoa hoặc tăm nước mỗi ngày
- Chải răng đúng kỹ thuật, dùng bàn chải lông mềm
- Hạn chế ăn vặt nhiều lần trong ngày
- Khám răng định kỳ 6 tháng/lần và chụp X-quang khi cần thiết
Phòng ngừa luôn đơn giản và tiết kiệm hơn rất nhiều so với điều trị.
Góc nhìn chuyên môn nha khoa
Trong thực hành lâm sàng, sâu kẽ răng là một trong những nguyên nhân hàng đầu dẫn đến điều trị tủy và mất răng sớm. Chính vì vậy, bác sĩ nha khoa luôn đặc biệt chú ý kiểm tra vùng kẽ răng, kể cả khi bệnh nhân không có triệu chứng đau.
Một tổn thương nhỏ ở kẽ răng có thể để lại hậu quả lớn nếu bị bỏ sót.
Câu hỏi thường gặp về sâu kẽ răng
Sâu kẽ răng có tự khỏi không?
Không. Sâu răng là quá trình mất mô không hồi phục và cần được điều trị.
Không đau có cần điều trị không?
Có. Không đau chỉ là dấu hiệu bệnh chưa chạm tủy.
Trám sâu kẽ răng có bền không?
Độ bền phụ thuộc vào mức độ tổn thương và kỹ thuật phục hồi.
Niềng răng có làm tăng nguy cơ sâu kẽ không?
Có thể tăng nếu vệ sinh răng miệng không đúng cách.
Việt Hùng Group – Hành trình 10 năm khẳng định vị thế tiên phong

Việt Hùng Group – Đối tác tin cậy của các nha sĩ chuyên chỉnh nha tại Việt Nam:
- Cung cấp dụng cụ & vật liệu chỉnh nha chính hãng từ các thương hiệu uy tín như PMC Ortho, Promed Dent, ADITEK, WBT Korea, Sino Ortho, DENCO,…
- Dụng cụ hỗ trợ chỉnh nha toàn diện, chất lượng đạt chuẩn y khoa quốc tế.
- Đội ngũ hỗ trợ kỹ thuật chuyên môn sâu.
Với 10 năm kinh nghiệm trong lĩnh vực phân phối sản phẩm chỉnh nha và nha khoa, Việt Hùng Group đã khẳng định vị thế của một đơn vị tiên phong khi các sản phẩm của công ty xuất hiện tại hầu hết phòng khám, cơ sở nha khoa khắp cả nước. Trong quá trình hoạt động kinh doanh, Việt Hùng Group luôn trung thành với phương châm sản phẩm chất lượng, chính sách giá tốt, bảo hành tận tâm.
📍 Facebook: Chỉnh nha – Việt Hùng Group
🌐 Website: viethungdent.vn
📞 Hotline: 0901 447 969


