Ứng Dụng Kỹ Thuật Meaw Trong Điều Trị Chỉnh Nha Nâng Cao
Điểm nổi bật
- Kỹ thuật Meaw giúp giải quyết hiệu quả các trường hợp sai lệch khớp cắn phức tạp
- Phương pháp điều chỉnh đồng thời nhiều răng với lực kéo tối ưu
- Rút ngắn thời gian điều trị từ 6-12 tháng so với phương pháp truyền thống
- Đặc biệt hiệu quả với các ca hô, móm nặng, khớp cắn hở
Mục lục
- Kỹ Thuật Meaw Là Gì?
- Nguyên Lý Hoạt Động Của Kỹ Thuật Meaw
- Ưu Điểm Vượt Trội Của Kỹ Thuật Meaw
- Ứng Dụng Thực Tế Trong Chỉnh Nha Nâng Cao
- Lưu Ý Khi Áp Dụng Kỹ Thuật Meaw
- Kết Luận & Giải Pháp Từ Việt Hùng Group
Kỹ Thuật Meaw Là Gì?
Kỹ thuật Meaw (Multiloop Edgewise Archwire) là một phương pháp chỉnh nha sử dụng dây cung đa vòng để điều chỉnh vị trí răng một cách chính xác. Phương pháp này được phát triển bởi Giáo sư Young H. Kim vào những năm 1980 và nhanh chóng trở thành công cụ đắc lực trong điều trị các ca khó như:
- Hô, móm nặng
- Khớp cắn hở, cắn sâu
- Lệch đường giữa
- Răng chen chúc nhiều
Khác với các phương pháp truyền thống chỉ tác động lên từng răng riêng lẻ, Meaw cho phép kiểm soát đồng thời nhiều răng nhờ hệ thống vòng lặp được thiết kế tinh vi trên dây cung.
Nguyên Lý Hoạt Động Của Kỹ Thuật Meaw

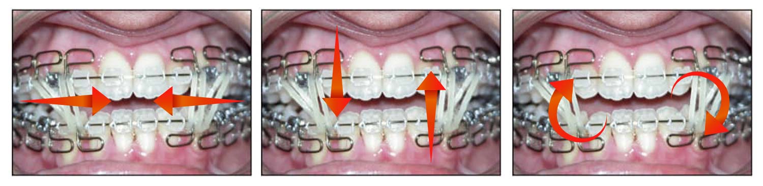
1. Thiết Kế Dây Cung Đa Vòng
Dây cung Meaw bao gồm nhiều vòng lặp nhỏ được uốn cong một cách chính xác, giúp:
- Phân bố lực đều trên nhiều răng
- Kiểm soát lực kéo theo 3 chiều (ngang, dọc, xoay)
- Giảm thiểu nguy cơ tiêu xương và tổn thương chân răng
2. Cơ Chế Điều Chỉnh Từng Phần
Mỗi vòng lặp trên dây cung Meaw có thể được tinh chỉnh riêng để:
- Nới rộng cung hàm
- Kéo lùi răng cửa
- Xoay răng nanh và răng hàm
Nhờ đó, bác sĩ có thể xử lý từng vấn đề cụ thể mà không cần thay đổi toàn bộ hệ thống mắc cài.
Ưu Điểm Vượt Trội Của Kỹ Thuật Meaw

So với các phương pháp chỉnh nha thông thường, Meaw mang lại nhiều lợi ích đáng kể:
- Hiệu quả cao với ca khó: Giải quyết tốt các trường hợp hô, móm nặng mà niềng răng thường không đạt kết quả tối ưu.
- Rút ngắn thời gian điều trị: Nhờ khả năng tác động đồng thời lên nhiều răng, thời gian chỉnh nha có thể giảm từ 6-12 tháng so với phương pháp truyền thống.
- Giảm đau và khó chịu: Lực kéo được phân bố đều nên ít gây ê buốt so với kỹ thuật dùng lò xo hay mini vis.
- Tính thẩm mỹ cao: Dây cung Meaw có thể kết hợp với mắc cài sứ hoặc Invisalign để đảm bảo tính thẩm mỹ trong suốt quá trình điều trị.
Ứng Dụng Thực Tế Trong Chỉnh Nha Nâng Cao
1. Điều Trị Khớp Cắn Hở
Kỹ thuật Meaw đặc biệt hiệu quả trong các trường hợp khớp cắn hở do thói quen đẩy lưỡi hoặc cơ hàm yếu. Bằng cách sử dụng các vòng lặp phía trước, răng cửa có thể được kéo xuống và đóng khoảng hở hiệu quả.
2. Chỉnh Nha Cho Bệnh Nhân Móm Nặng
Với bệnh nhân móm do xương hàm dưới phát triển quá mức, Meaw giúp kéo lùi răng hàm dưới và điều chỉnh khớp cắn mà không cần phẫu thuật trong nhiều trường hợp.
3. Xử Lý Răng Chen Chúc Phức Tạp
Nhờ khả năng kiểm soát từng răng riêng lẻ, Meaw giúp sắp xếp lại các răng chen chúc mà không cần nhổ răng quá nhiều.
Lưu Ý Khi Áp Dụng Kỹ Thuật Meaw
Mặc dù mang lại hiệu quả cao, kỹ thuật Meaw đòi hỏi:
- Bác sĩ có tay nghề cao và hiểu rõ nguyên lý điều chỉnh lực.
- Theo dõi sát sao để tránh tác dụng phụ như tiêu chân răng hoặc tụt lợi.
- Kết hợp với các khí cụ hỗ trợ như minivis nếu cần di chuyển răng nhiều.
Kết Luận & Giải Pháp Từ Việt Hùng Group

Kỹ thuật Meaw mở ra một hướng điều trị mới cho các ca chỉnh nha phức tạp, giúp bệnh nhân sớm sở hữu hàm răng đều đẹp và khớp cắn chuẩn. Tuy nhiên, thành công của phương pháp này phụ thuộc rất lớn vào chất lượng dụng cụ chỉnh nha và trình độ bác sĩ.
Tại Việt Hùng Group, chúng tôi cung cấp:
- Dây cung chỉnh nha chính hãng đến từ các thương hiệu uy tín như SINO ORTHO, ADITEK, WBT KOREA, đảm bảo độ bền và lực kéo ổn định.
- Tư vấn miễn phí về các dụng cụ – vật liệu chỉnh nha tối ưu.
Liên hệ ngay hotline 0901 447 969 hoặc truy cập viethungdent.vn để được hỗ trợ!
Câu hỏi thường gặp
1. Kỹ thuật Meaw có phù hợp với trẻ em không?
Kỹ thuật này thường được áp dụng cho bệnh nhân từ 15 tuổi trở lên khi xương hàm đã phát triển ổn định.
2. Chi phí điều trị bằng kỹ thuật Meaw có cao hơn phương pháp thông thường?
Chi phí có thể cao hơn do yêu cầu về chuyên môn và dụng cụ đặc biệt, nhưng hiệu quả điều trị vượt trội giúp tiết kiệm thời gian và công sức.
3. Thời gian điều trị trung bình với kỹ thuật Meaw là bao lâu?
Tùy từng trường hợp, thời gian thường từ 12-24 tháng, ngắn hơn 6-12 tháng so với phương pháp truyền thống.


